dr. john osterman, dds,pc     New York Dental Specialists
  • Home
  • Restorative Services
  • Cosmetic Dentistry
  • Dental Implant Treatment
  • About Prosthodontists
  • Policies
  • Before and After Photos I
  • Before and After Photos II
  • Before and After Photos III
  • Before and After Photos IV
  • Before and After Photos V

Before and After Photos IV
​

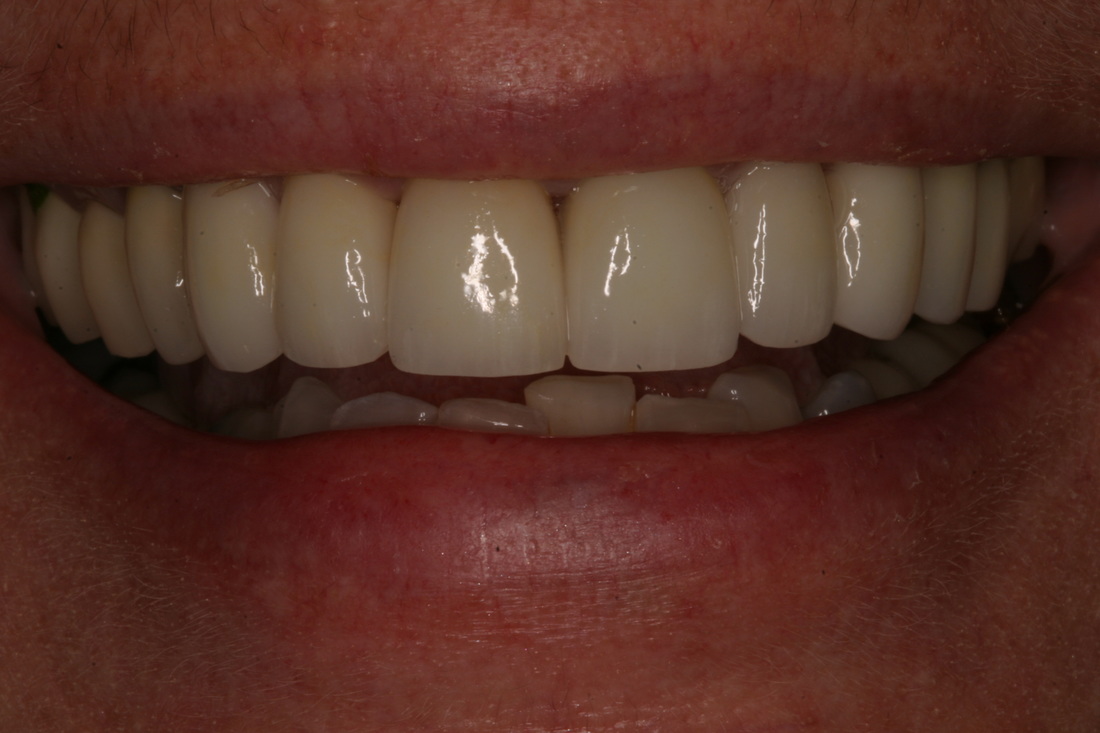
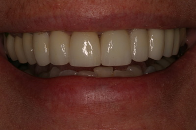
Problem:   Patient dislikes old crowns, color and position of upper  teeth.

Solution:  Fabrication of six porcelain laminates and two porcelain crown to create prettier, whiter, more unifying                                smile
Web Hosting by FatCow